Nephropathology
   
Case 107
Diagnosis
 
     
Versión en Español

Go back to clinical information and images

Diagnosis: AA (Inflammatory) Amyloidosis

Amyloidosis comprises a heterogeneous group of diseases in which normally soluble plasma proteins are deposited in the extracellular space in an abnormal, insoluble, fibrillar form. Amyloid A (AA) amyloidosis is characterized by extracellular tissue deposition of fibrils that are composed of fragments of serum amyloid A (SAA) protein, a major acute-phase reactant protein, produced predominantly by hepatocytes. AA amyloidosis occurs in the course of a chronic inflammatory disease of either infectious or noninfectious etiology, hereditary periodic fevers, and with some neoplasms. In developing countries, the most common instigator of AA amyloidosis is chronic infection; in industrialized societies, rheumatic diseases are the usual stimuli (Dhawan R. AA (Inflammatory) Amyloidosis. In eMedicine (visited on Jan 16th). [Link]).

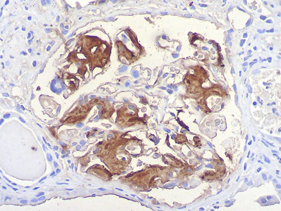
In our case, Congo red and immunostaining (Figures 12, 13, and 14) confirmed that the deposits corresponded to A amyloid. The history of secondary syphilis led us to attribute the etiology to this chronic infection.

Figure 12. Congo red; right: polarized; X400.

Figure 13. Immunostaining for A amyloid, X400.

Figure 14. Immunostaining for A amyloid, X400.

See the chapter: Amyloidosis and other diseases... of our Tutorial.

Go back to clinical information and images

References

  • Dhawan R. AA (Inflammatory) Amyloidosis. In eMedicine (visited on January 16th). [Link]

[Top]

Go back to clinical information and images