|
|
CASE
222 (August 2024)
Clinical information
A 33-year-old man presented with pedal edema, persistent proteinuria and hypertension. Her past and family histories were unremarkable. Her blood pressure was 160/100 mm Hg. Physical examination revealed pedal and facial edema, without other alterations. Laboratory tests showed proteinuria of 4.7g/24 h, serum creatinine 1,0 mg/dL, microhematuria, normal serum complement levels, ANA negative; HIV, hepatitis B and C viral infections were negative. Ultrasound of the abdomen showed normal sized kidneys.
Kidney biopsy was performed. Look at the images.

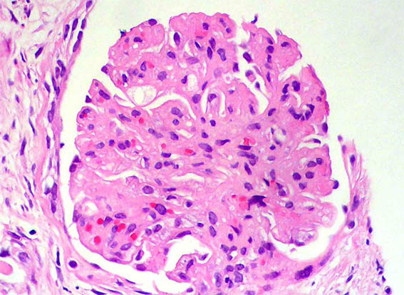
Figure 1. H&E, X400.

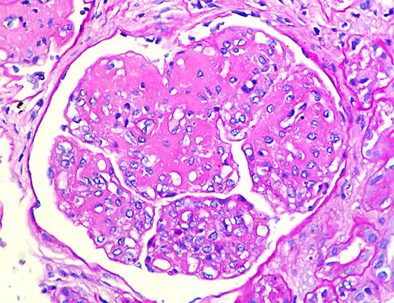
Figure 2. PAS, X400.

Figure 3.
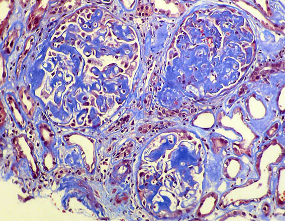
Masson's trichrome stain, X200.

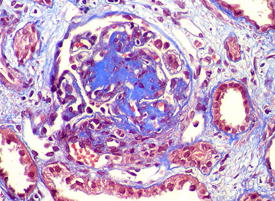
Figure 4. Masson's trichrome stain, X400.

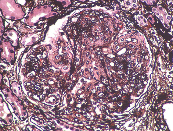
Figure 5. Methenamine-silver stain, X400.

Figure 6. Electron microscopy, original magnification, X4,000.

Figure 7. Electron microscopy, original magnification, X6,000.

Figure 8. Electron microscopy, original magnification, X6,000.

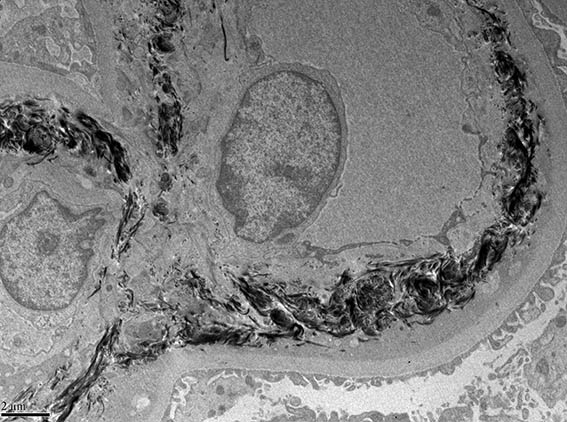
Figure 9. Electron microscopy, original magnification, X15,000.

Figure 10. Electron microscopy, original magnification, X20,000.
Direct immunofluorescence for IgA, IgG, IgM, C3, C1q, kappa, lambda, and fibrinogen: Negative.
What is your diagnosis?
See
diagnosis and discussion
[Top] |
|