| CASE
183 (May 2021)
Clinical information
The patient is a 28-year-old man transplanted for end-stage renal disease of unknown cause. He has been on dialysis for 3 years. Before dialysis he reported intermittent edema; At that time, when he was evaluated by nephrology, he had nephrotic proteinuria and his creatinine was 3.9 mg/dL. A kidney biopsy was performed but only severe chronic changes were found, with global glomerulosclerosis in the 7 glomeruli identified (unclassifiable).
he first months after post-transplantation the paraclinics were normal. At the 5th month, proteinuria of 0.8 g/day was detected, without hematuria and with normal creatinine. At the 7th month after post-transplantation, proteinuria was 6.2 g/day, he presented edema in the lower limbs, dyslipidema, and serum albumin of 2.6 g/dL. Serum creatinine 1.0 mg/dL, BUN: 14 mg/dL.
The kidney graft was biopsied. Look at the pictures.

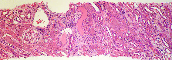
Figure 1. H&E, X100.

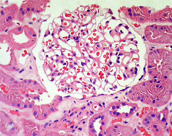
Figure 2. H&E, X400.

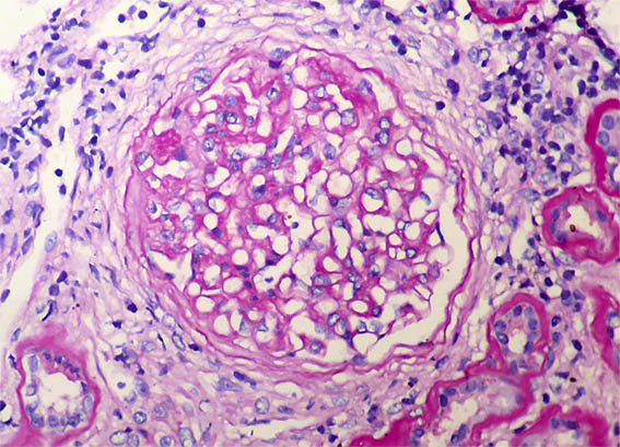
Figure 3. PAS, X100.

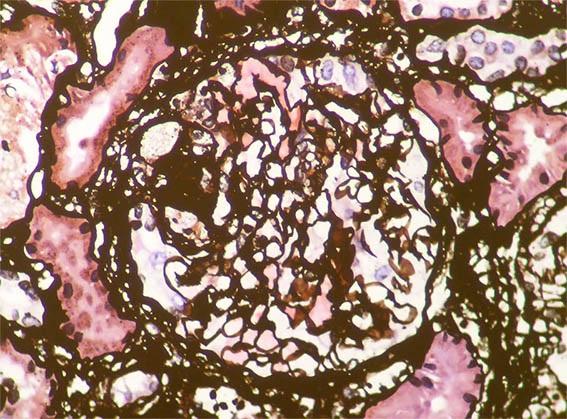
Figure 4. Methenamine-silver stain, X400.

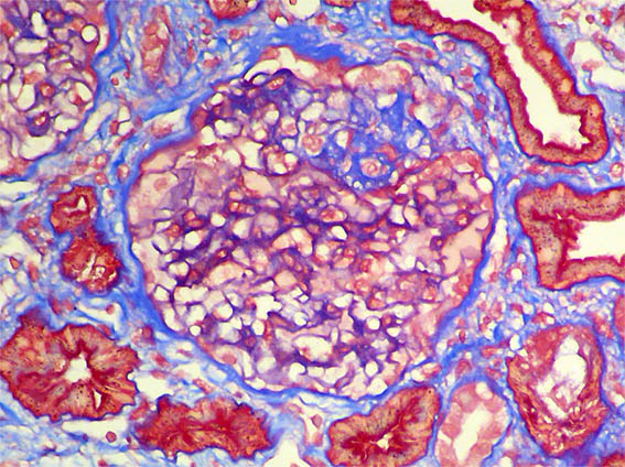
Figure 5. Masson's trichrome stain, X400.

Figure 6. Direct immunofluorescence for IgM, X400. It was focal and segmmental.

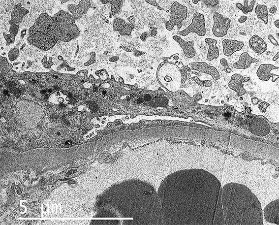
Figure 7. EM, original magnification, X4,500. How are the podocyte processes?.

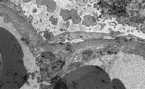
Figure 8. EM, original magnification x 4,500. Detail the podocyte cytoplasm.

Figure 9. EM, original magnification, X1,550. Electron-dense deposits are not identified.
Direct immunofluorescence for IgA, IgG, C3 and C1q were negative.
What is your diagnosis?
See
diagnosis and discussion
[Top]
|