Nefropatología
   
Diagnóstico del Caso 28
Con una breve discusión
 
     
English version

CASO 28

Volver a datos clínicos e imágenes Caso 28

Diagnóstico: Glomerulonefritis proliferativa endocapilar difusa aguda, postinfecciosa

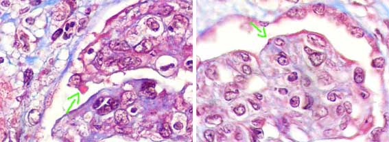
La glomerulonefritis proliferativa endocapilar difusa está definida como una proliferación celular que afecta áreas mesangiales y luces capilares. Las células que proliferan son mesangiales, endoteliales y células inflamatorias que migran al penacho. Hay oclusión de las luces capilares debido a las células y a edema. El término "aguda" indica una evolución clínica de rápida instauración y, en muchos casos, está asociada con abundantes neutrófilos en el penacho: "exudativa".

El diagnóstico de GN postinfecciosa está basado en la demostración de una infección previa relacionada con la enfermedad glomerular. Las características morfológicas que sugieren GN postinfecciosa son las lesiones exudativas con un patrón difuso homogéneo y la presencia de "jorobas" como las que pueden verse en las imágenes 4 y 5 del presente caso (ver la siguiente imagen).

En la paciente del presente caso hubo un episodio previo compatible con amigdalofaringitis aproximadamente 10 días antes del inicio de los síntomas. Sin embargo, es también posible que la neumonía que presentó esté relacionada con la glomerulonefritis. Nosotros no podemos determinar con certeza cual de las dos infecciones fue la "causante" de esta GN.

En el seguimiento, la paciente está bien, asintomática, tres meses después de la biopsia; función renal normal, no hay hematuria ni proteinuria, y se considera una remisión completa. La paciente recibió tratamiento antibiótico para su neumonía y terapia de soporte. No hubo tratamiento específico para la GN; no recibió esteroides ni otros inmunosupresores.

La razón para presentar este caso es la presencia de "jorobas" prominentes.

Ver el capítulo Glomerulonefritis proliferativa endocapilar de nuestro Tutorial

Volver a datos clínicos e imágenes Caso 28

Bibliografía

  • Nasr SH, Markowitz GS, Stokes MB, Said SM, Valeri AM, D'Agati VD. Acute postinfectious glomerulonephritis in the modern era: experience with 86 adults and review of the literature. Medicine (Baltimore). 2008;87(1):21-32. [PubMed link]
  • Sotsiou F. Postinfectious glomerulonephritis. Nephrol Dial Transplant. 2001;16 Suppl 6:68-70. [PubMed link] [Free full text] ]

[Arriba]

Volver a datos clínicos e imágenes Caso 28