| CASE
215 (January 2024)
Clinical information
A 61-year-old man with a history of arterial hypertension diagnosed 5 years previously presented with edema that had been developing for one month. Nephrotic syndrome was documented, with proteinuria in 24 hours of 6.7 g, hypoalbuminemia and dyslipidemia. There is no other personal pathological history. Smoker of a pack of cigarettes a day, occasional liquor. He has no history of diabetes.
Paraclinical tests: normal hemoleukogram; serum creatinine: 1.3 mg/dL, BUN: 18 mg/dL. Hepatotropic viruses and HIV negative. Glycosylated hemoglobin (HbA1c): 5.5%. Negative or normal autoimmunity studies; Protein electrophoresis without monoclonal spike.
A kidney biopsy was done. Look at the images.

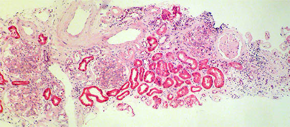
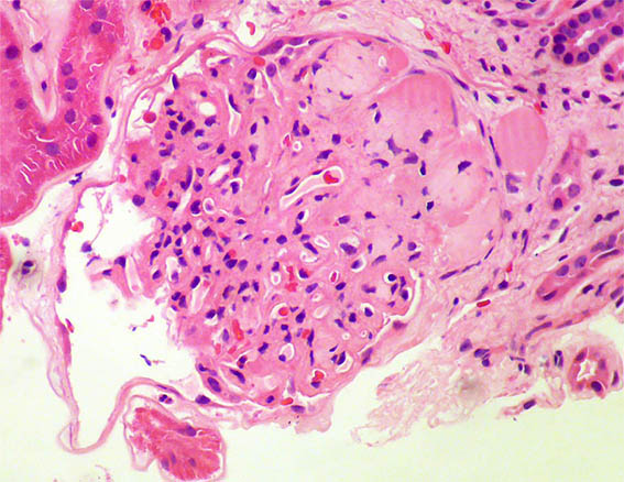
Figure 1. H&E, X100.

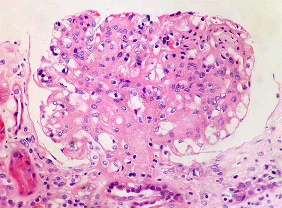
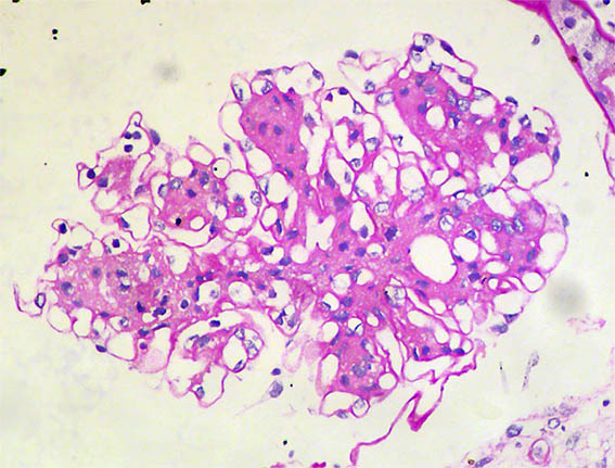
Figure 2. H&E, X400. Notable mesangial hypercellularity and glomerulomegaly.

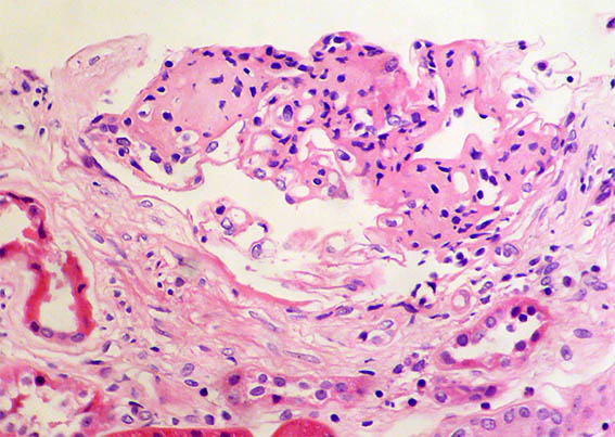
Figure 3.
H&E, X400. Lobulation.

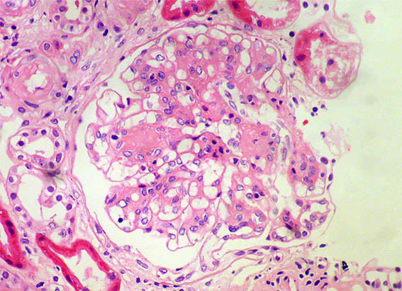
Figure 4. H&E, X400. Nodules suggestive of Kimmelstiel-Wilson.

Figure 5. H&E, X400.

Figure 6. H&E, X400.

Figure 7. PAS, X400.

Figure 8. PAS, X400. Capsular drop (arrow).

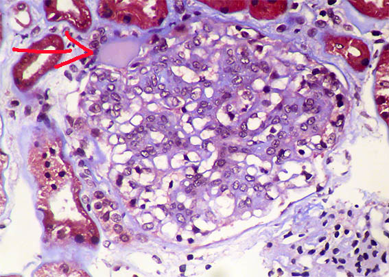
Figure 9. Masson's trichrome stain, X400. Another capsular drop (arrow).

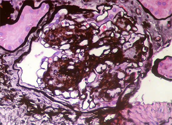
Figure 10. Methenamine-silver stain, X400.

Figure 11. Direct immunofluorescence for IgG, X400. Linear (or "pseudolinear") positivity in glomerular and tubular basement membranes.

Figure 12. Electron microscopy, original magnification, X4,000. Diffuse thickening of the GBM.

Figure 13. Electron microscopy, original magnification, X4,000. Extensive podocyte damage.

Figure 14. Electron microscopy, original magnification, X4,000.

Figure 15. Electron microscopy, original magnification, X4,000.
Immunofluorescence for kappa and lambda light chains was similar to that for IgG. Nonspecific segmental trapping of IgM and C3 in hyaline and sclerosing lesions. IgA and C1q: negative. Congo red stain: negative for amyloid. No organized deposits or fibrillar or tubular deposits were identified in the EM.
What is your diagnosis?
See
diagnosis and discussion
[Top]
|