| CASE
210 (August 2023)
Clinical information
A 42-year-old woman with a history of systemic arterial hypertension that was very difficult to control, diagnosed a year earlier, is evaluated in the emergency department for dyspnea and severe headache. She also presents lower limb edema. The symptoms of headache and dyspnea began a few days earlier. In the patient there is also suspicion of progressive systemic sclerosis. At the physical exam BP: 240/130, RF: 24/min, HR: 84/min. Papilledema is described in the examination of the fundus of the eye.
Paraclinical tests: normal blood leukogram, platelets 180,000/mm2. Serum creatinine: 2.1 mg/dL, BUN: 39 mg/dL. In urinalysis: proteinuria: 200 mg/dL, in the erythrocyte sediment: 10-15/high power field. ANAs: 1:80, C3: 86 (90-180), C4: 14 (12-40), anti-DNA: negative. ANCAs: negative.
Renal biopsy was performed with a diagnostic impression of acute kidney injury. See the images.

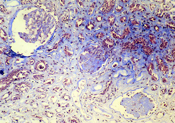
Figure 1. Masson's trichrome stain, X100.

Figure 2. Masson's trichrome stain, X200.

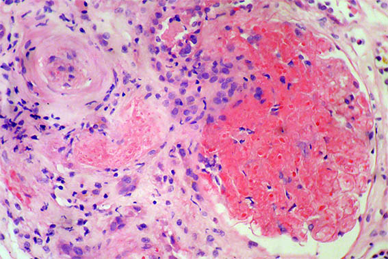
Figure 3.
H&E, X400.

Figure 4. H&E, X400.

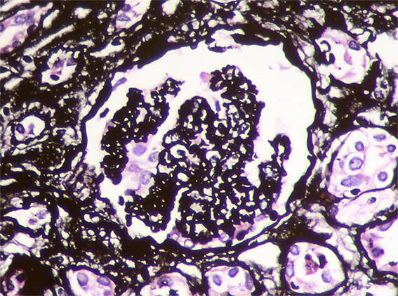
Figure 5. Methenamine-silver stain, X400.

Figure 6. Methenamine-silver stain, X400.

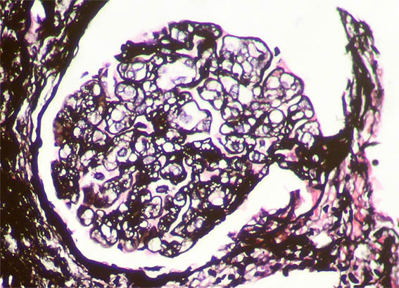
Figure 7. Methenamine-silver stain, X400. Mesangiolysis.

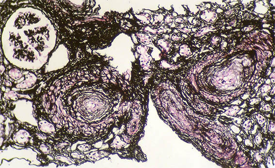
Figure 8. Methenamine-silver stain, X100.

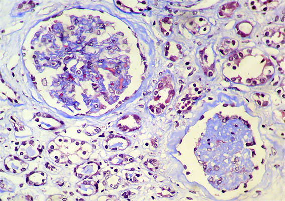
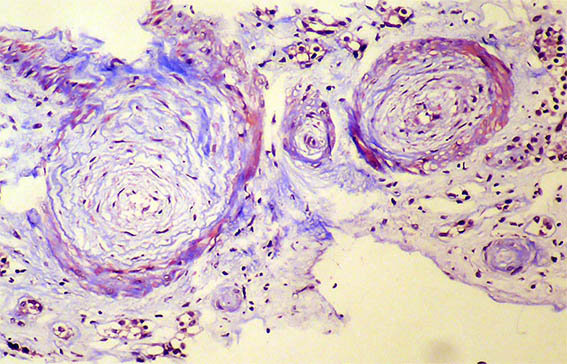
Figure 9. Masson's trichrome stain, X200.

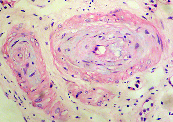
Figure 10. H&E, X200.
Direct immunofluorescence for IgA, IgG, IgM, C3, C1q, kappa, and lambda: Negative.
What is your diagnosis?
See
diagnosis and discussion
[Top]
|