|
|
CASE
203 (January 2023)
Clinical information
A 35-year-old man was diagnosed with HIV infection in 2003. Treatment with zidovudine, lamivudine, and indinavir was started. In 2005 he presented an episode of gastroenteritis, with diarrhea, vomiting and dehydration that lasted for a week. There was elevation of serum creatinine up to 4.3 mg/dL, BUN 57 mg/dL. Viral load in blood: undetectable; C4d count: normal. In the urinalysis there is proteinuria of 100 mg/dL, erythrocytes in the sediment: 5-7/hpf and leukocytes: 4-5/hpf; they do not describe casts.
Ten days after the end of the gastrointestinal symptoms, the patient continues with lower limb edema, with no other symptoms, and persists with high serum creatinine: 3.6 mg/dL, for which a renal biopsy is performed.

Figure 1. Masson´s trichrome stain, X400. Normal glomeruli; there is periglomerular fibrosis.

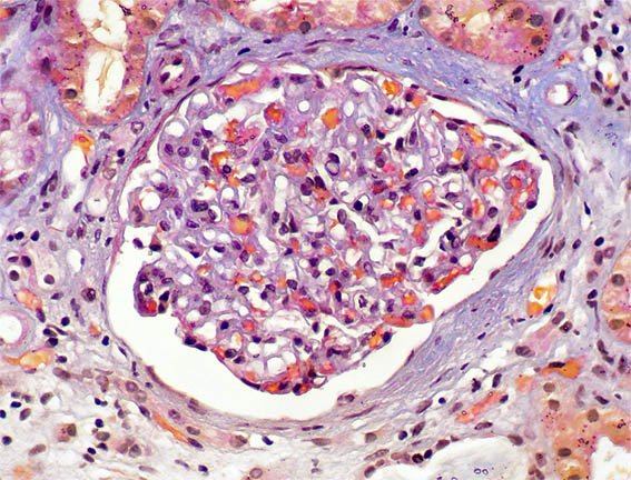
Figure 2. H&E, X400. Glomeruli with normal characteristics.

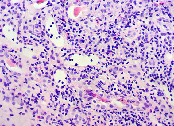
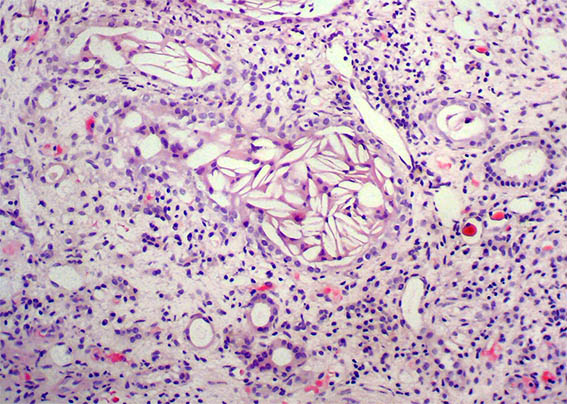
Figure 3. H&E, X400. Areas with marked interstitial inflammation and tubular damage.

Figure 4. H&E, X100.

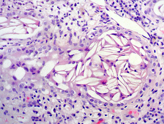
Figure 5. Masson's trichrome stain, X100. Observe what is in some tubules, which are very dilated.

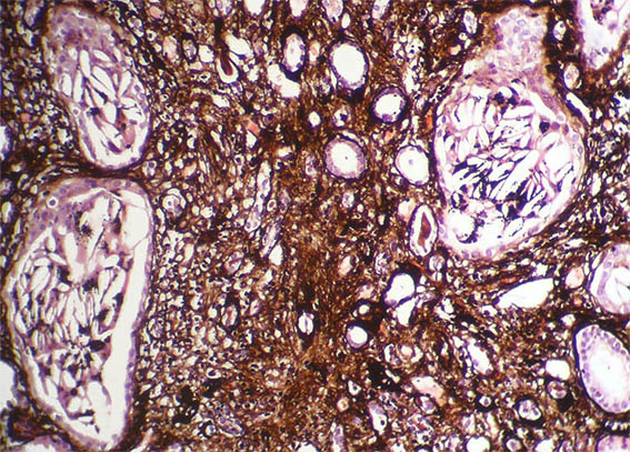
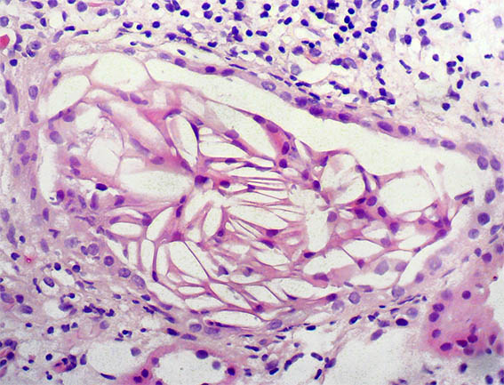
Figure 6. Methenamine-silver stain, X200.

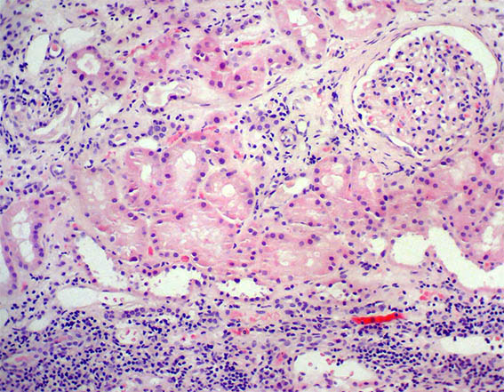
Figure 7. H&E, X200.

Figure 8. H&E, X400.

Figure 9. H&E, X400.

Figure 10. Masson's trichrome stain, X400.

Figure 11. Methenamine-silver stain, X400.
Direct immunofluorescence for IgA, IgG, IgM, C3, C1q, kappa, and lambda: Negative.
What is your diagnosis?
See
diagnosis and discussion
[Top]
|
|