|
|
CASE
198 (August 2022)
Clinical information
The patient is a 42-year-old man with acute kidney injury of unclear aetiology, creatinine 3.5 mg/dL, BUN: 54 mg/dL; edema in lower limbs, one week of evolution. He does not report other symptoms. As relevant history, the patient was diagnosed with HIV infection 20 days earlier and started antiretroviral therapy 2 weeks ago, which raises the possibility of acute tubulointerstitial nephritis secondary to drugs.
Other paraclinical: Hb: 12 mg/dL, Hto: 37%; leukocytes: 5,800/microliter, normal platelets, CD4 count: 150; HIV viral load: 950,000 copies/mL. Urinalysis: proteinuria: 150 mg/dL, erythrocytes: 6-8/hpf, leukocytes: 10-12/hpf.
Look at the images of the renal biopsy:

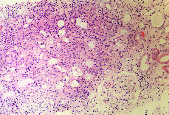
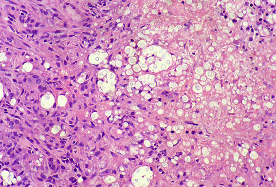
Figure 1. H&E, X200.

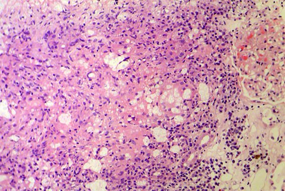
Figure 2. H&E, X200.

Figure 3. H&E, X200.

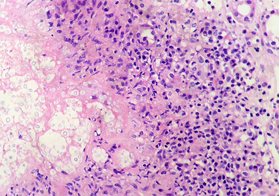
Figure 4. H&E, X400.

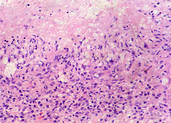
Figure 5. H&E, X400.

Figure 6. H&E, X400.

Figure 7. Methenamine-silver stain, X400.

Figure 8. Mucicarmine stain, X400.

Figure 9. EM, original magnification, X2,500.

Figure 10. EM, original magnification, X6,000.
What is your diagnosis?
See
diagnosis and discussion
[Top]
|
|