| CASE
187 (September 2021)
Case provided by:
Boonyarit Cheunsuchon, MD
Associate professor
Department of Pathology, Siriraj Hospital
Mahidol University
Bangkok 10700 Thailand
Clinical information
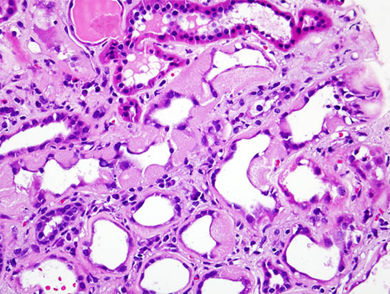
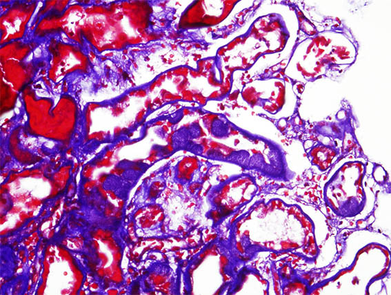
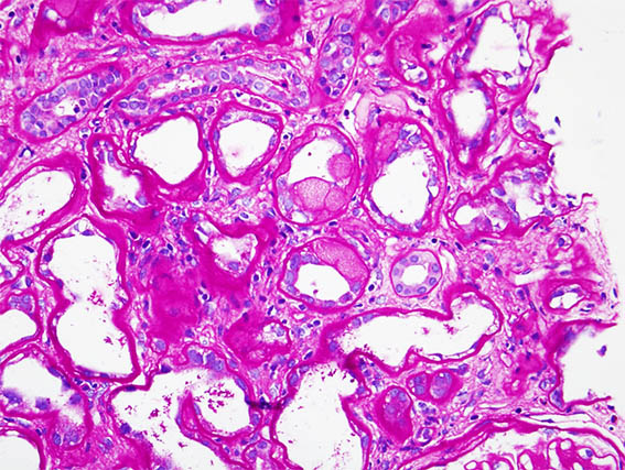
The patient is a 41-year-old woman with diabetes, who developed abrupt nephrotic syndrome, for which a kidney biopsy was performed. The biopsy shows advanced diabetic nephropathy without superimposed GN.
There is an area of tubular lesions as in the images:

Figure 1. H&E, X400. Note the tubular material.

Figure 2. Masson's trichrome stain, X400.

Figure 3. PAS, X400.

Figure 4. Methenamine-silver stain, X400.
Direct immunofluorescence showed linear positivity for IgG in tubular and glomerular basement membranes, characteristic of diabetic nephropathy, without any other type of positivity; kappa and lambda with similar staining. Congo red stain: negative.
What are these lesions?
See
diagnosis and discussion
[Top]
|