|
|
CASE
186 (August 2021)
Clinical information
A 42-year-old woman, with no personal pathological history, is vaccinated against SARS-CoV-2, the first dose, and a week later she begins to present edema and general malaise. She does not report other symptoms. At physical examination blood pressure: 140/90, HR: 70 x min, respiratory rate: 16 x min. No skin lesions. Lower limb edema.
In paraclinical tests, creatinine elevation is documented: 2.2 mg / dL, BUN: 32 mg / dL (no previous values are known). Normal hemoleukogram. ANAs, ANCAs and complement negative or normal. Negative virus studies. Urinalysis: proteins: 500 mg / dL, erythrocytes: 10 / CGA, leukocytes: 6 / CGA; negative urine culture. Proteinuria in 24h: 5.5 g. Serum albumin: 2.3 g / dL; total protein: 5.4 g / dL. There is also dyslipidemia. Protein electrophoresis without monoclonal peak.
Given the history of previous vaccination, due to its epidemiological implications, the patient was thoroughly re-interrogated and acknowledged having consumed diclofenac (self-medicated) in the previous 2 weeks due to low back pain..
Kidney biopsy is done. Look at the pictures.

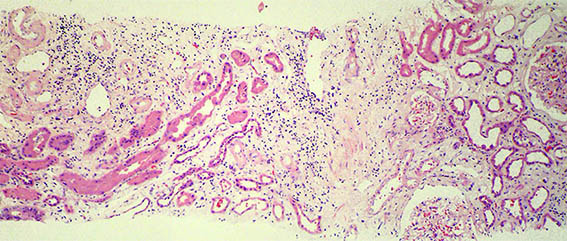
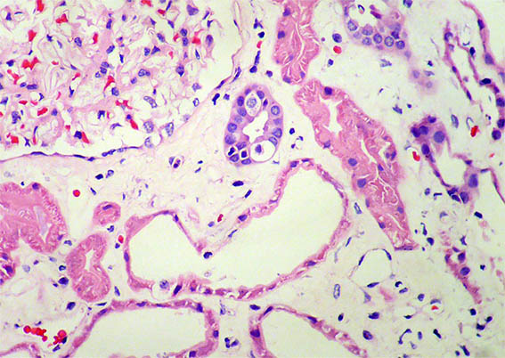
Figure 1. H&E, X100. Note the prominent tubulointerstitial involvement.

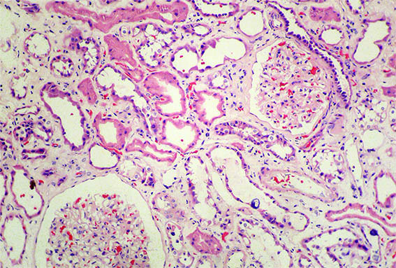
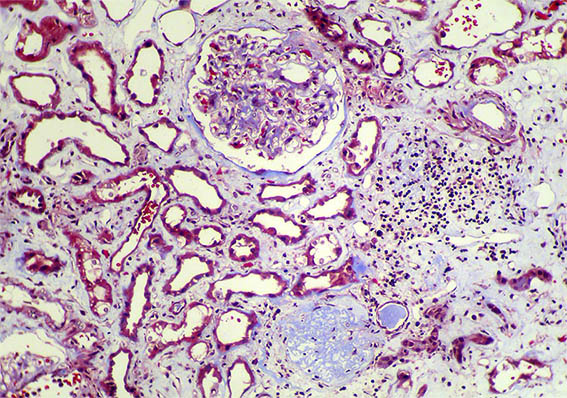
Figure 2. H&E, X200.

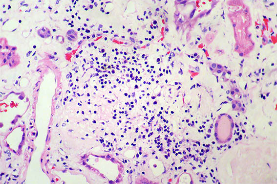
Figure 3. H&E, X400.

Figure 4. H&E, X400.

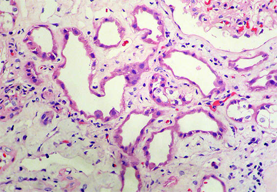
Figure 5. H&E, X400.

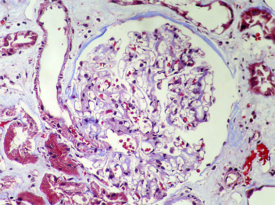
Figure 6. Masson's trichrome stain, X200.

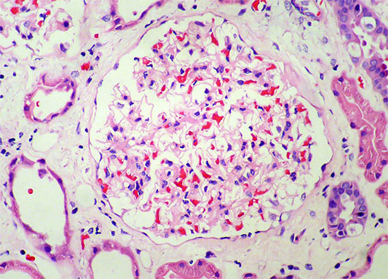
Figure 7. H&E, X400. Glomeruli with normal appearance.

Figure 8. Masson's trichrome stain, X400.

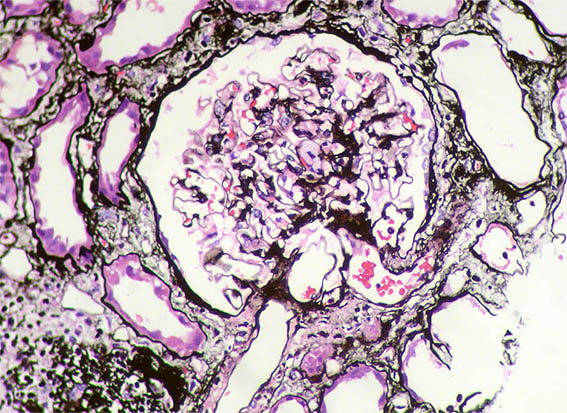
Figure 9. Methenamine-silver stain, X400.

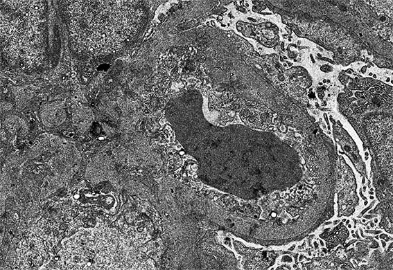
Figure 10. Diffuse podocyte damage, with microvillous transformation of the podocyte cytoplasm. EM, original magnification, X2,100.

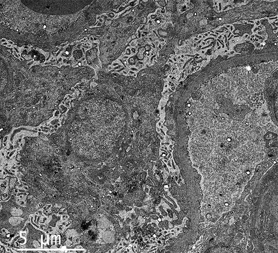
Figure 11. EM, original magnification, X2,100.

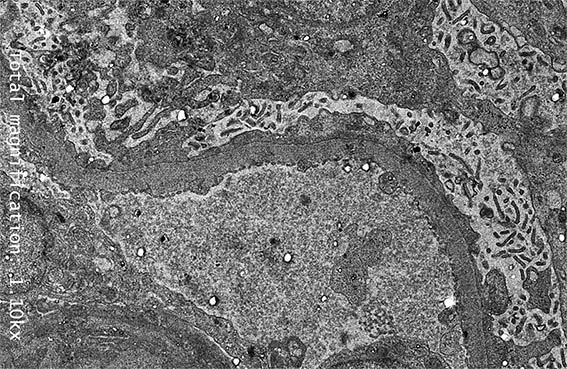
Figure 12. EM, original magnification, X2,100.

Figure 12. EM, original magnification, X4,000.
Direct immunofluorescence for IgA, IgG, IgM, C3, C1q, kappa and lambda: Negative.
What is your diagnosis?
See
diagnosis and discussion
[Top]
|
|