Homepage - - - Tutorial Index
Proliferative Endocapillary Glomerulonephritis
This injury pattern is also known as acute endocapillary GN or diffuse endocapillary GN. It is defined as a cellular proliferation affecting mesangial areas and capillary lumens. Proliferating cells are mesangials, endothelials, and circulating inflammatory cells that have migrated to the capillary tuft. There is occlusion of capillary lumens due to cellular proliferation and endothelial cells edema. The lesion is usually diffuse, but, in some cases it is segmental and focal. Sometimes it is accompanied by extracapillary proliferation (crescents). When there are abundant neutrophils in the tuft is termed exudative GN and is almost always associated to infections. In cases with severe inflammation it is possible to find tuft necrosis with karyorrhexis, fibrin and capillary walls rupture.
Proliferative GN can occur with a variety of disorders, including infections, lupus nephritis, and IgA nephropathy. Although the pathogenesis of this alteration is variable, the fundamental mechanism is believed to be deposition of immune complexes in the capillary tufts, activation of the complement and other mediators, and recruitment of neutrophils and other inflammatory cells. In this section we will deal mainly with postinfectious GN.
Postinfectious GN frequently is related to infection by Streptococcus pyogenes in pharynx or skin. Only some strains are considered nephritogenic: types 1, 2, 4, 12, 18, 25, 49, 55, 57, and 60. Postinfectious GN incidence varies widely, even with infections by the same strain, for this reason it is considered that there are individual factors, mainly genetic, possibly important in the pathogenesis. Glomerular lesions are not associated to direct infection by the microorganism, but, to the formation of immune complexes. It is not known with certainty if the immune complexes circulate and they are deposited in the glomeruli, or if the antigens (many have been proposed) cross the GBM and they joint to specific sites in the capillary wall and after unite with antibodies and activate the complement.
In recent years two streptococcal antigens have been postulated in the pathogenesis: exotoxin B (“cationic cysteine proteinase exotoxin B [SPE B]) and the plasmin receptor, a glyceraldehyde phosphate deshydrogenase (“Plr, GAPDH”), but very much remain to know about their pathogenic mechanisms (Batsford SR, et al, Is the nephritogenic antigen in post-streptococcal glomerulonephritis pyrogenic exotoxin B (SPE B) or GAPDH? Kidney Int. 2005;68:1120-9. [PubMed link]; Ahn SY, Ingulli E. Acute poststreptococcal glomerulonephritis: an update. Curr Opin Pediatr. 2008;20:157-162. [PubMed link]).
Other infectious agents have been associated with acute GN: Streptococcus pneumoniae, Staphylococcus, gram negative bacilli, Treponema, mycobacterium, Plasmodium, several virus, and so on. In these cases the morphologic expression usually is more variable: Diffuse mesangial proliferativa GN, focal endocapillary, extracapillary, and membranoproliferative.
There are diffuse endocapillary GN without infection evidence. They could be cases in which the infectious process happened long time back as to detect evidence of the immune response to the microorganism.
Clinical features: Post-streptococcal GN occur more frequently in children, but there is no age in which the disease cannot appear. There is a period of latency between the beginning of the infection and the development of the GN, which is in average 1 to 2 weeks for pharyngitis and 3 to 6 weeks for infections of the skin. This latency period is very important for the clinical differentiation of other causes of hematuria. In IgA nephropathy usually it happens, when is associate to pharyngitis, in the first week of the beginning of the infection (so called “synpharyngetic nephritis”).
The onset of clinical symptoms is generally abrupt, with hematuria, facial edema, and hypertension (nephritic syndrome). In many cases there is oliguria.
Most of affected children recover spontaneously, with complete resolution in few weeks. In adults the prognosis is a little less favourable, some patients continue with persistent abnormalities of the renal function. Nephrotic range proteinuria and severe oliguria have been associated with a worse prognosis.
In many cases there is a fast course and quick resolution, reason why the patients are not biopsied. It is known that in some cases there is subclinical disease and in these cases the GN even can contribute to chronic renal damage.
Laboratory findings: Increase of antibodies against streptolysin O (AELOS), DNasa-B, and hyaluronidase; an increase of at least 2 times between the titles of the acute phase and convalescence are considered diagnostic of the Streptococcus infection. There is diminution of complement levels (specially C3) in approximately 80% of patients. There is increase of BUN and creatinine; hematuria with dysmorphic erythrocytes, and erythrocytaire casts. Proteinuria is usually low grade, nevertheless, it is severe (nephrotic range) in 5% to 10% of cases.
Histopatology
The glomeruli appear large, with marked hypercellularity and with diminution or apparent loss of capillary lumens. Involvement is usually global, diffuse, and uniform. The cells of the capillary tufts generally have nuclei with variable size and form because the cells are of diverse origin: neutrophils, mesangials, endothelials, lymphocytes, monocytes, and other polymorphous. When is possible to see clearly the capillary walls, GBM is not thickened and appear smooth, without irregularities, with PAS and methenamine-silver stains. In some cases is possible to see well-defined rounded deposits in the external aspect of the capillary peripheral walls: “humps”; they are demonstrated better with Masson’s trichrome: red by the fuchsin (fuchsinophilic), or with silver stain or toluidina blue stain (not routinely used in most of laboratories). The presence of humps strongly suggests postinfectious GN, but it can see in other GN like membranoproliferative GN and cryoglobulinemia (Ferrario F y Rastaldi MP, J Nephrol. 2004;17:747-8. PubMed link).

Figure 1. Glomerulus with noticeable global cellular proliferation that obstructs capillaries, the nuclei have a heterogeneous aspect and there are abundant polymorphous (exudative). Diffuse proliferative endocapillary GN. (H&E, X300).

Figure 2. A higher magnification of the previous figure. See the variable aspect of the nuclei, loss of the capillary lumens, and polymorphous in the tuft. (H&E, X400).

Figure 3. The trichrome stain highlights capillary lumen loss. Notice the presence of neutrophils and the variable aspect of the nuclei due to the diverse origin of the proliferating cells. (Masson’s trichrome, X300).

Figure 4. The noticeable hypercellularity and size increase produce “lobulation” of the capillary tuft, emphasized by the capillary walls and mesangium staining provided by the silver. (Methenamine-silver, X400).

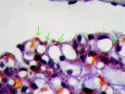
Figure 5. In postinfectious GN there are subepithelial deposits which are detected by electron microscopy. Occasionally, as in this case, the deposits can be seen with a good trichrome stain: fuchsinofílic (red) by the fuchsin of the stain; these are termed “humps” (arrows). This feature strongly suggests the postinfectious GN diagnosis. (Masson’s trichrome, X1000).

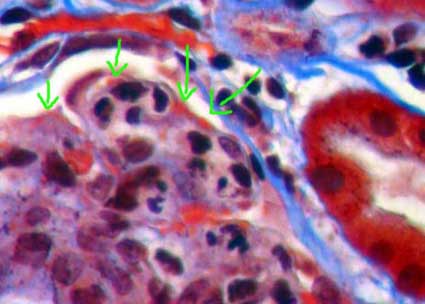
Figure 6. Another beautiful image of humps, pointed by the arrows, in another case of postinfectious GN. (Masson’s trichrome, X1000).
In approximately 10% of cases crescents are found, but usually affecting few glomeruli. Extensive extracapillary proliferation is rare, sometimes justifying a diagnosis of crescentic GN; in these cases glomerular damage is greater and the prognosis worse. A few crescents do not imply bad prognosis.
See Case 2 of our Case series: Postinfectious GN
See Case 13 of our Case Series: Postinfectious crescentic GN

Figure 7. Diffuse proliferative endocapillary GN, exudative, with epithelial crescent in right half (arrows) (H&E, X400).
In some cases of postinfectious GN the glomeruli only show mesangial proliferation. These cases, generally, correspond to a late stage of evolution of the disease, with GN in resolution.
Interstitium and tubules usually do not present alterations. There may be slight interstitial and intratubular erythrocytes and polymorphous. In the vessels histologic alterations usually are not evidenced.
Immunofluorescence
Heavy, granular, sometimes irregular, deposits of IgG and C3 are demonstrated. In many cases the immunostaining with anti-C3 is more intense and occasionally it can be the only immune deposit present, although in these cases we should think in C3 glomerulonephritis (see below). Other immunoglobulins or complement fractions are less frequent. Although rare, in our laboratory we have seen some cases with C1q deposits, always less intense than C3 deposits. Most of immune deposits are located in the external aspect of the GBM (subepithelials).
From 80’s years three immunostaining patterns have been described (Sorger and cols.): 1.) Garland pattern: heavy, large, confluent deposits in the capillary walls. Some authors associate this pattern with more severe injuries, greater proteinuria and worse prognosis. 2.) Starred sky pattern: small deposits, spaced, irregularly distributed in the capillary walls, often accompanied by mesangial deposits; it is seen frequently in initial phases of the disease. 3.) Mesangial pattern: there are few parietal deposits and they are mesangial and granular; this pattern is associated with late phases of the disease (in resolution). Frequently the three patterns are combined (Sorger K, et al. Subtypes of acute postinfectious glomerulonephritis. Synopsis of clinical and pathological features. Clin Nephrol. 1982;17:114-28. [PubMed link]; Sorger K, et al. The garland type of acute postinfectious glomerulonephritis: morphological characteristics and follow-up studies. Clin Nephrol. 1983;20:17-26. [PubMed link]) .

Figure 8. Diffuse proliferative endocapillary GN, postinfectious. Extensive granular deposits in the capillary walls. The heavy, confluent deposits, give an aspect in "garland". (Immunofluorescence for C3, X400).

Figure 9. Smaller and spaced parietal granular deposits giving an aspect that, at least in some segments, remembers the "starry sky". (Immunofluorescence for IgG in a postinfectious GN case, X400).
Electron microscopy
On the ultrastructural study the loss or diminution of capillary lumens, cellular edema, and electron-dense immune deposits in the epithelial side of the capillary walls (humps) are evidenced. The basal membrane conserves its normal structure, without alterations of the thickness or contour. Sometimes there are mesangial and/or subendothelial deposits, but smaller and dispersed. Several images and EM (link)

Figure 10. Two "humps" are evident in this ultrastructural image of a case of postinfectious GN (arrows).(EM, original magnification, X2,100).

Figure 9. At higher magnification, better detailing one of the two humps in the previous image. (EM, original magnification, X6,000).
IgA Dominant Postinfectious Glomerulonephritis
Immunoglobulin A (IgA) dominant postinfectious glomerulonephritis (IgA PIGN) is a morphologic variant of acute PIGN, in which, instead of IgG and C3 deposits, there are IgA and C3 deposits. Because the majority of reported cases occur in association with staphylococcal infections, the alternative designation 'IgA-dominant acute poststaphylococcal glomerulonephritis' has been applied. Diabetes is a major risk factor, likely reflecting the high prevalence of staphylococcal infection in diabetics, particularly involving skin. Patients typically present with renal failure, proteinuria and hematuria. Prognosis is guarded with less than a fifth of patients fully recovering renal function. This variant of acute PIGN must be distinguished from IgA nephropathy. Features that favor IgA-dominant PIGN over IgA nephropathy include initial presentation in older age or in a diabetic patient, acute renal failure, intercurrent culture-documented staphylococcal infection, hypocomplementemia, diffuse glomerular endocapillary hypercellularity with prominent neutrophil infiltration on light microscopy, stronger immunofluorescence staining for C3 than IgA, with a granular pattern suggesting post-infectious GN, with "lumpy-bumpy" (or "garland" or "starry sky") appearance, and the presence of subepithelial humps. The pathogenetic mechanism of selective IgA deposition in patients with poststaphylococcal glomerulonephritis likely involves specific host responses to the inciting pathogen (Nasr SH, D'Agati VD. IgA-dominant postinfectious glomerulonephritis: a new twist on an old disease. Nephron Clin Pract. 2011;119(1):c18-25 [PubMed link])
See Case 195 of our Case Series: IgA dominant postinfectious glomerulonephritis.
C3 Glomerulonephritis
It is a glomerulonephritis with exclusive C3 deposits, without immunoglobulins or C1q. Morphologically it is usually manifested with membranoproliferative or endocapillary proliferative pattern.
Whereas early classifications of glomerulonephritis (GN) were based on morphologic features, the modern approach is directed at immunofluorescence findings. Glomerular deposits of C3 alone, without immunoglobulin, are the hallmark of alternative complement pathway dysregulation through inherited or acquired defects. These immunoglobulin-negative forms are referred to as C3 glomerulopathy, which encompasses both dense deposit disease and C3 glomerulonephritis. Distinguishing C3 glomerulopathy from immunoglobulin-mediated GN is opening the way to better diagnostic, prognostic, and treatment algorithms (D'Agati VD, Bomback AS. C3 glomerulopathy: what's in a name? Kidney Int. 2012;82(4):379-81. [PubMed link])
C3 GN equally affect all ages, both genders, and typically presented with hematuria and proteinuria. In both the short and long term, renal function remain stable in the majority of patients with native kidney disease. Alternative pathway of complement abnormalities are heterogeneous, both acquired and genetic. The most common acquired abnormality appears to be the presence of C3 nephritic factors, while the most common genetic finding appears to be the presence of H402 and V62 alleles of Factor H. In addition to these risk factors, other abnormalities include Factor H autoantibodies and mutations in CFH, CFI, and CFHR genes. Laser dissection and mass spectrometry of glomeruli from patients with C3GN show accumulation of alternative pathway and terminal complement complex proteins. Thus, C3GN results from diverse abnormalities of the alternative complement pathway leading to subsequent glomerular injury (Sethi S, et al. C3 glomerulonephritis: clinicopathological findings, complement abnormalities, glomerular proteomic profile, treatment, and follow-up. Kidney Int. 2012;82(4):465-73. [PubMed link])
So, in patients with C3GN it is required a strict clinical follow-up with continuous measurement of serum complement, which helps to confirm the diagnosis and to differentiate of post-infectious and other GN.
See case 82 of our Case Series - See Case 121 of our Case Series.
Bibliography
Homepage - - - Tutorial Index